
If you’re in pain or experiencing a dental emergency, contact us as soon as possible so we can try to see you on the same day. Prompt attention helps prevent problems from worsening and avoids more complex or costly treatment later.









Tooth pain often results from decay or inflammation of the nerve (pulpitis) inside the tooth. In early stages, inflammation may be eased with anti-inflammatory medication and addressing the decay.
When pain is severe or persistent, the nerve may need treatment with a pulpotomy (emergency root dressing), followed later by root canal therapy, in which the infected tissue is cleaned, disinfected, and sealed completely.
A temporary restoration will be placed to protect the tooth until you see an endodontist soon.
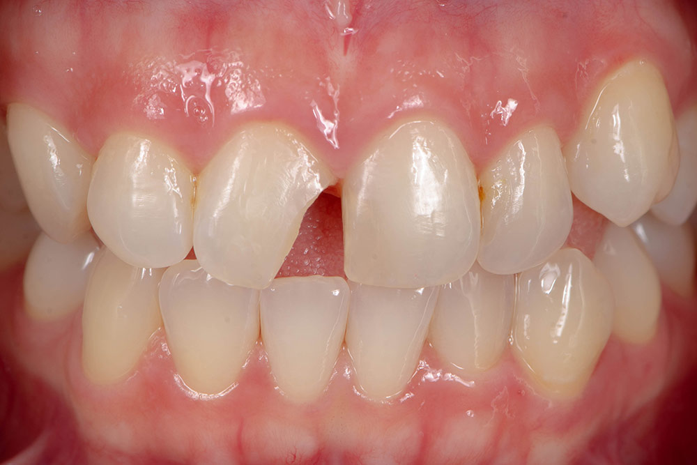
If you’ve broken a tooth, an emergency assessment and X-ray will help determine the extent of the damage.
Depending on the fracture, we can repair it with a white composite filling, veneer, or crown. These restorations are colour-matched to your natural teeth, ensuring both aesthetic appearance and full function of the tooth.
Our lower jaw connects to the skull through the temporomandibular joint (TMJ). Painful jaw joints, or TMJ disorder, are a common cause of jaw pain and can result from several factors. Causes include:
If you have any issues with a dental implant placed by us, please contact us immediately for an emergency appointment.
If you’re experiencing problems with an implant placed elsewhere, it’s best to contact the dentist who performed your treatment first, as they will have your implant details, records, and spare components. Alternatively, you can see our emergency dentist in Islington.
If they’re unavailable or unable to assist, our experienced team led by Dr. Amin Amenien (MSc Implant Dentistry, PG Cert. Multisystem Implantology) will be happy to help.
Please bring any available information, such as the implant brand, size, graft type, and restorative protocol, to support an accurate assessment and safe management.
Severe toothache, swelling, infection, broken or knocked-out teeth, loose implant tooth, and lost restorations are all dental emergencies. If you’re unsure, call us. Our team can advise whether you need urgent care.
We aim to offer same-day emergency appointments, subject to availability. You can book online or call us directly for the next available slot.
Our 30-minute emergency appointments focus on assessing and, where possible, managing the immediate problem — such as pain, swelling, or a broken tooth. We may schedule you for a follow-up visit for treatment.
Regardless, we recommend booking a full check-up afterwards to plan ongoing care and help prevent future issues.
Take suitable over-the-counter pain relief (paracetamol or ibuprofen if safe for you) and rinse gently with warm salt water. Avoid heat or chewing on the affected side until you’re seen.
Facial swelling, fever, or difficulty swallowing can indicate a serious infection. Contact us immediately or, if the swelling is severe or affects breathing, go straight to A&E.
Antibiotics alone rarely fix dental pain — they only help if there’s a spreading infection. The underlying cause (such as decay or an abscess) needs dental treatment to resolve the problem.
If possible, please complete your medical history form online in advance.
Bring any available and relevant items such as your retainer or nightguard, or any recent reports or X-rays.
If you’re not our regular patient and your emergency involves an implant, please bring any available implant information — for example, the brand, size, or surgical report.
We care about the protection of your data. Read our Privacy Policy.
Web design by EyeMedia Creative | Dental Marketing by Vanilla Circus | Dentists in London: Patient visit Angel Smile from all over Islington, Arsenal, Barnsbury, Bunhill, Caledonian, Canonbury, Clerkenwell, Finsbury Park, Highbury, Hillrise, Holloway, Junction, Laycock, Mildmay, St Mary’s and St James’, St Peter’s and Canalside, Tollington, Tufnell Park.